We work very closely with master ceramists from around the world. Dr. Chawla and his Lab team overlook every step of the makeover journey for every patient to ensure seamless communication between the clinician, patients desires and the ceramic artists. This helps to provide an unsurpassed level of quality and customization. We use our own blend of ceramic recipes and layering techniques that closely mimics natural teeth, to help create facial harmony through the smile with the face and the personality of the patient giving results that seem natural and not artificial.
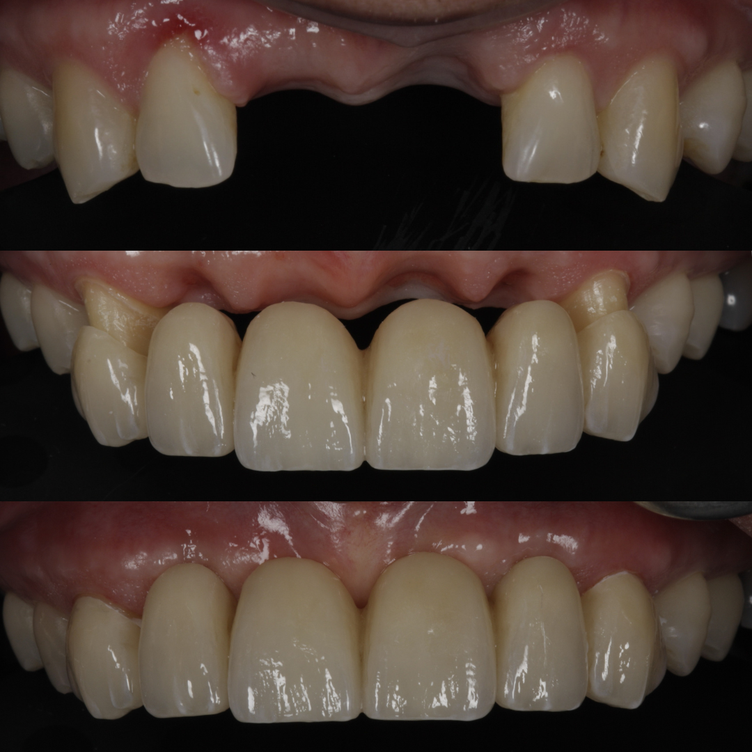
Step 1 - Consultation
At this appointment we do a thorough clinical evaluation, exam, x-rays, clinical photographs to build a case record and discuss any desires and needs you may have. We have a frank discussion with you about what you don’t like and would like to change about your smile. We use this appointment to understand what is your expectations from treatment.


Step 2 - Simulation & Test Drive
At this appointment we show you a digital simulation of what your makeover can look like and get your feedback on any changes you would like further. We also give you a temporary smile that you can “test drive” for the look and feel, for 1-2 weeks till you return to decide to go ahead with treatment. At this stage we have an idea of the approximate number of teeth we need to work on.
Step 3 - Preparation
At Smile Makeovers London, After taking your feedback on the Temporary Smile, Dr. Chawla makes changes and fine tunes the shapes using his minimally invasive techniques and makes measurements for moulds for the final veneers. The temporary smile is refit and patient is sent home.


Step 4 - Trial & Cementation
The master ceramists prepares ceramic veneers identical to the shapes of the test drive smile approved by the patient. Dr. Chawla removes the temporary veneers, places the permanent veneers and does final checks for shape, fit etc and on patient approval are permanently bonded onto the teeth. Visit here to know more about Cosmetic Dentistry.
Step 5 - 48 Hour Review
This is usually done to check and adjust any bite issues, and polish and fine tune any shapes and finishing touches to your new permanent smile. This is usually done within 1 week of fitting the permanent veneers.

Maintenance & Recall
Your new permanent veneers if treated properly should last up to 15 years or more after their placement. Most patients get used to them within 1-2 months of placement that’s when the muscles around the lips and face adapt to the new smile hence enhancing the natural appearance more than when they were put in.