15
Years of experience
874
Patients treated
152
Positive reviews
2
Practices in London
The Art and Science of Ceramic Veneers
Dr. Shravan Chawla is an internationally qualified cosmetic dentist practicing in London, specialising in Smile Makeovers with ceramic and porcelain veneers. With years of hands-on experience, he has honed a deep understanding of ceramics, working closely with some of the world’s top master ceramists. His expertise allows him to create customized layering techniques that replicate the natural beauty of real teeth.
“At Smile Makeovers London, My vision for every case is driven by the evidence-based science, art of ceramic layering and facially driven aesthetics and symmetry. This combination helps us deliver a smile that looks and feels natural.“

No two smiles are the same. Just like a unique painting, hand layered veneers are customised to suit your face and personality. Colours and textures are added for a smile that is truly unique.
Our Services

Smile Makeovers
A smile makeover is a personalized dental treatment plan aimed at enhancing the appearance and functionality of your smile. It addresses various dental concerns such as discoloration, misalignment, chips, gaps, and more, ultimately boosting your confidence and overall well-being.
Ceramic/Porcelain Veneers
Natural ceramic veneers are custom-made, thin shells designed to cover the front surface of teeth, enhancing their appearance by addressing imperfections such as discoloration, chips, gaps, or misalignment. Crafted from high-quality ceramic materials, these veneers closely mimic the translucency and texture of natural teeth, providing a durable and aesthetically pleasing solution for a radiant smile.


Emergency Veneer Repair
Porcelain veneers are custom-made, thin shells of tooth-colored porcelain designed to cover the front surface of teeth, enhancing their appearance by addressing issues like discoloration, chips, gaps, or misalignment.
Invisalign
Invisalign are clear alginers used to help straightne your teeth. Extremely popular to help correct crooked teeth or close spaces naturally


Composite Bonding
Dental composite bonding is a cosmetic procedure where a tooth-colored resin material is applied, shaped, and hardened onto the teeth to improve their appearance. It’s a minimally invasive and affordable solution for addressing various dental imperfections, such as Chipped or cracked teeth, Gaps between teeth, Discoloured or stained teeth, and misalignment or irregularly shaped teeth.
Teeth Whitening
We offer professional teeth whitening treatments that effectively remove stains and discoloration, brightening your smile safely and efficiently.

TESTIMONIAL
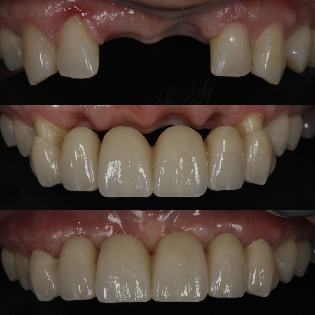
See the Results
Our Process


Consultation

Cementation

Preparation

1 Year Recall
Frequently asked questions
What are ceramic porcelain veneers?
Ceramic porcelain veneers or Ceramic Veneers in London used for smile makeovers are customised wafer thin porcelain shells that are glued onto your teeth permanently to help enhance and correct shape, colour, shade and overall symmetry and appearance of your smile.
Are porcelain Veneers for me?
Every case is decided on merit and after a thorough clinical evaluation, discussing each clients needs and wants we put forward what would be ideal and clinically possible for that case. Whether or not porcelain veneers are a good treatment choice for you depends on many factors such as age, condition of your existing teeth, crowding, spacing, colour and finally time and expense of the treatment we are willing to undertake. We lay emphasis on having an overall existing and healthy condition of oral health. If your existing condition of oral health is unstable or unhealthy, we would not advise you to proceed with any cosmetic treatment till that is addressed and stabilized.
Do my teeth need to be filed down to stumps for a smile makeover with porcelain veneers like turkey teeth?
No. The advantage of ultra-thin porcelain veneers are that they usually require little to no shaving off of your existing healthy tooth structure. The amount that might need to be polished, depends on a case-to-case basis and is usually only on the facial or front facing surface of the teeth. This is done in a calibrated manner utilizing latest techniques and protocols of minimally invasive dentistry. As opposed to crowns/ turkey teeth, that require the tooth to be ground down to stumps that are highly invasive and weaken the tooth.
Are porcelain veneers permanent?
Yes. Once bonded to the tooth, porcelain veneers are permanently stuck and will not come out on their own. They can be taken out professionally and replaced in case of damage but require a lot of skill and time.
How are porcelain veneers compared to composite bonding?
Porcelain veneers used in a smile makeover are ultra-thin customized shells of porcelain made outside the mouth in a specialized laboratory by a master ceramists bonded onto your existing teeth. These shells are made by a master ceramist to give us the desired shape, shade, color and texture. Composite bonding is done free hand by the dentist directly onto your teeth. Depending on the patient’s requirement and dentists’ skill, this can achieve a certain desired result. However over time the colour stability, appearance and aging properties of ceramic veneers is far superior (12-15 years) compared to composite bonding (5-7 years). Many times, we use a combination of porcelain veneers and composite bonding to help enhance the smile.
Is the procedure painful?
Since the procedure requires little to no shaving of tooth structure, the entire process is relatively pain free under traditional local anaesthesia. There is sometimes some minor post procedure transient discomfort and/or sensitivity which usually settles within a few days.
What care should I take after the procedure?
Porcelain veneers used for smile makeovers once bonded onto the teeth are extremely strong and durable. You are required to care for them just like your natural teeth such as regular checks, flossing, home care hygiene and professional’ hygiene appointments. We usually advise patients to wear a soft night guard after getting porcelain veneers as a precaution.
What are the risks associated with this procedure?
As with any permanent medical / cosmetic procedure there are advantages but although rare, some risks involved. Risks are those associated with general dentistry such as reactions to Local anesthetic, materials etc. Getting a smile makeover with porcelain veneers might lead to some post operative sensitivity in some cases. But this is usually temporary and transient and settles over sometime. In extremely rare cases of continued sensitivity, we advise a root canal which can be carried out without damage to the veneer.
What if I don’t like the way my veneers look in my smile?
Once the veneers are permanently bonded onto your teeth, then taking them off requires a lot of effort, time and skill. Hence the biggest risk associated with porcelain veneers is not being happy with them after they are fitted. That is why we use simulations, temporary smile test drives and trials to help you understand what your smile will look like and only cement your final veneers once we are 100% sure the final result is approved by you.
How strong are porcelain veneers?
Porcelain Veneers Dentist London – Once bonded correctly onto your tooth, porcelain veneers are extremely strong. You have to care for them just like your natural teeth. You will have no diet restrictions after the veneers are permanently bonded.
How long will the whole procedure take?
The entire smile makeover journey with porcelain veneers takes 3-4 sessions spaced out between 2-3 weeks. In some cases, it can take even less time. We begin with a consultation and clinical photography record session. Following this we call you back to discuss the simulation / mock ups and number of teeth we need to work on. We may also provide you with a temporary ‘test drive” smile at this point before you commit to embark on the makeover. This is followed by the main session where we make measurements for the veneers and give you a temporary “test drive” smile similar to what we are aiming to achieve while your final ceramic veneers are being fabricated by our master ceramists. We have the chance to fine tune any shapes and appearance of the test drive smile based on your feedback and that can be incorporated into the final porcelain veneers. The veneers take 2 weeks to get fabricated and once we receive them, we do a final trial with photos and on approval they are permanently bonded onto the teeth. At every stage we work closely with you, take photos and videos to help us understand, fine tune and achieve the ideal results.
Do I need to take any special precautions after a smile makeover with porcelain veneers?
General care like flossing, good oral hygiene habits, and regular checkups and hygiene appointments with the hygienist will help maintain and keep the veneers and gums safe and healthy.












